Plaučių uždegimas arba pneumonija – uždegiminė infekcinė plaučių liga, kuri apima alveoles ir jungiamąjį audinį aplink jas.


Ligą gali sukelti vienas arba iškart keletas veiksnių, įskaitant bakterijas, virusus, grybelius, parazitus, cheminį arba fizinį plaučių pažeidimą, tačiau pneumonijos rizikos veiksniai lemia ar plaučiai apsisaugo nuo uždegimo, ar ne. Rizikos veiksniams priklauso: kita ūminė respiracinė infekcija, rūkymas, fiziniai veiksniai: peršalimas, spindulinis poveikis, svetimkūniai bronchuose, cheminiai veiksniai: iritacinės dujos, skrandžio sultys, lėtinės plaučių ligos, kraujotakos sutrikimai, lėtinės širdies sistemos ligos, imunodeficitinės būklės.
Sukelėjai gali patekti į plaučius 3 keliais: inhaliaciniu (90%), hematogeninis (kai mikroorganizmai atkeliauja iš kito infekcijos židinio pvz, sepsis), aspiracinis (infekcija patenka kartu su svetimkūniu, pvz su skrandžio sultimis refliukso metu). Dažniausiai infekciją sukelia: pneumokokas (Streptococcus pneumoniae), hemofilas (Haemophilus influenzae), auksinis stafilokokas (Staphylococcus aureus), mikoplazma (Mycoplasma pneumoniae).
Plaučių uždegimui būdingas karščiavimas, kosulys, skrepliavimasis, skausmas krūtinėje, sunkus kvėpavimas. Diagnozuojama kraujo tyrimu, imant skreplių mėginį, darant rentgeno nuotrauką.
Epidemiologija
Pasaulyje plaučių uždegimu per metus suserga maždaug 450 mln. žmonių (7 % populiacijos), o apie 4 mln. nuo jo miršta. XX a. sukūrus antibiotikus ir pradėjus vakcinuoti, žymiai išaugo šią ligą išgyvenusiųjų skaičius. Visgi besivystančiose šalyse plaučių uždegimas išlieka viena pagrindinių mirties priežasčių, be to, tai viena pagrindinių mirties priežasčių tarp labai senyvo amžiaus, labai jaunų, lėtinėmis ligomis sergančių asmenų.
Klasifikacija
Kadangi yra daug susirgimo priežasčių ir būdų, todėl yra keletas pneumonijų klasifikacijų.
- Pagal susirgimo aplinkybes :
- Visuomenėje įgyta – diagnozuojama asmeniui, susirgusiam ne ligoninėje ir ne slaugos namuose.
- Su sveikatos priežiūra susijusi – jei žmogus gyvena slaugos namuose, arba bent 2 dienas gulėjo ligoninėje per paskutinius 3 mėnesius, arba per pastarąjį mėnesį jam buvo suleisti į veną vaistai, taikyta chemoterapija, gydoma žaizda ar atlikta hemodializė.
- Hospitalinė pneumonija – kai asmuo suserga ne anksčiau kaip po 48 val. nuo hospitalizavimo.
- Dirbtinai ventiliuojamų plaučių pneumonija – kai susergama bent 48 val. praėjus nuo plaučių ventiliacijos.
- Anatominė klasifikacija:
- Pagal lokalizaciją
- Alveolinė pneumonija (bakterinė)
- Intersticinė pneumonija (virusinė)
- Pagal išplitimą:
- Skiltinė
- Skiltelinė
- Pagal prieš tai buvusią ligą:
- Pirminė pneumonija – prieš plaučių uždegimą nebuvo priežastinės ligos.
- Antrinė pneumonija – pasekmė kitų ligų ir būklių.
- Pagal lokalizaciją
Simptomai
Skiltinės ir skiltelinės klinika skirtinga.
Skiltinės požymiai: pradžioje sunki būklė, silpnumas, apetito nebuvimas, 38–39 °C, šaltkrėtis, dusulys, sausas kosulys, po 3–4 dienų atsikosėjama, pūlingais kartais su kraujo priemaiša skrepliais, šono skausmai, lūpų pūslelinis bėrimas. Matomas ligonio dažnesnis kvėpavimas, priverstinė gulima kūno padėtis ant nesveiko šono. Gydant pagerėja per savaitę, pasveikstama per 4 savaites.
Skiltelinės pneumonijos požymiai: vyrauja pirminės ligos, užgožia skiltelinės pneumonijos simptomus todėl požymiai atsiranda pirminės ligos fone: atipinis karščiavimas, sustiprėjęs kosulys ir skrepliavimas, padidėja dusulys, padažnėja kvėpavimas, didėja ir progresuoja silpnumas, skausmo šone paprastai nebūna. Gydant per kelias dienas sveikata pagerėja, pasveikstama per porą savaičių.
Diagnozė
Laboratoriniai tyrimai
Kraujo tyrimas
Būdinga leukocitozė, leukocitų formulės (leukogramos) poslinkis į kairę, toksiniai granuliocitai, ENG padidėjimas. Padidėja CRB koncentracija kraujo serume.
Kraujo dujos
Kai sunkus plaučių uždegimas, tiriama arterinio kraujo dujų sudėtis, nustatoma hipoksemija.
Kraujo pasėlis
Daromas, kai pneumonija sunki arba esama bakteriemijos požymių (šaltkrėtis, sutrikusi mikrocirkuliacija). Teigiama hemokultūra būna tik iki 20 proc. atvejų, todėl asmenims sergantiems hospitaline pneumonija atliekami keli kraujo pasėliai.
Skreplių tyrimas
Skiltinė pneumonija: skrepliai tąsūs, pūlingi, rūdžių spalvos. Mikroskopuojant matoma daug leukocitų, pavienių eritrocitų, alveolinių makrofagų. Esant skiltelinei pneumonijai: skrepliai gleiviniai pūlingi arba pūlingi, gausūs. Mikroskopuojant matoma daug leukocitų, bronchų epitelio.
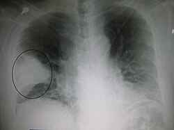
Rentgeninis plaučių tyrimas
Esant skiltinei pneumonijai matomas tamsus ribotas darinys, apimantis didžiąją dalį skilties arba visą, gali būti pleurito požymiai – skystis sinusuose. Esant skiltelinei pneumonijai: stebimi plaučiuose keli pritemę židinukai, tarp kurių yra nepakitęs plaučio vaizdas ir pirminės ligos požymiai.